Dr. Michael P. R. Kan is a highly respected implant dentist with over 30 years of experience in restorative, cosmetic, and implant dentistry. A graduate of the University of Otago, he holds prestigious fellowships from the Royal Australasian College of Dental Surgeons and the International Congress of Oral Implantologists.
Dr. Kan combines advanced clinical science with exceptional craftsmanship and a deep understanding of patient needs. Having personally experienced the emotional impact of dental trauma, he brings empathy and precision to every case.
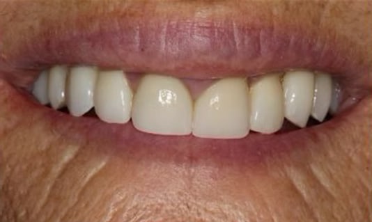
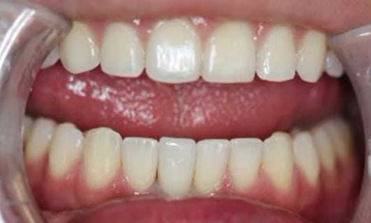
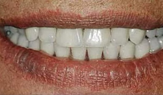
His mission is to restore confident, healthy, and natural-looking smiles through personalised, long-lasting implant solutions in Auckland.




Dental implants are usually divided into phases.
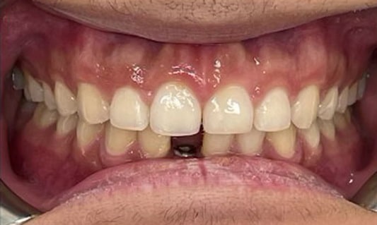
Phase 1 is an implant fixture placement: $2395
Phase 2 is the crown placed on to the implant: $2600
A 3D X-ray is taken to plan placement: $145 TO $245
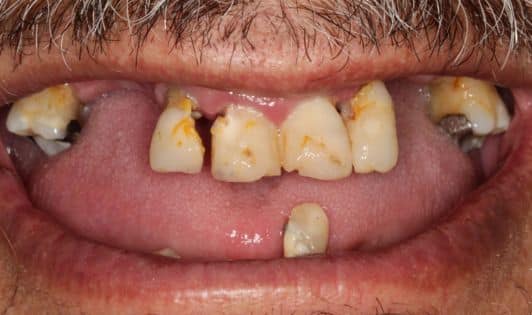
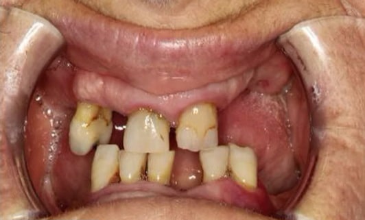
Sometimes we have to grow bone (GBR, guided bone regeneration) so there is enough bone to place the implant, there is an added cost for this.
Take the first step towards a confident smile with our affordable, locally placed dental implants. Book your free consultation now and discover your best smile!